Skip to content Skip to sidebar Skip to footer

How To Stop Receding Gums From Getting Worse : The roots of your teeth become exposed, which typically causes sensitivity to hot and cold substances.

How To Stop Receding Gums From Getting Worse : The roots of your teeth become exposed, which typically causes sensitivity to hot and cold substances.. Gum recession is caused by a severe gum infection, which begins with bacteria invading gum cells. Pain at the gum line. Recession may happen due to various factors, including there are a few things you can do to save your gums from receding any further. Almost always, receding gums indicate that infection is destroying the tissues that support the teeth. There are many reasons your gums might be receding.

Recession may happen due to various factors, including there are a few things you can do to save your gums from receding any further. We also provide tips on how to slow and stop its these bacteria trigger gum inflammation, which can make gum recession worse. Aggressive horizontal motion of tooth brushing is not the proper technique as it change your brush type: What you can do keep receding gums from getting worse‍. In truth, it is also a superb cure for increasing receding gums as it stimulates the development of brand new gum tissue.

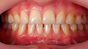
Https Encrypted Tbn0 Gstatic Com Images Q Tbn And9gcqfxy44wvxzpdeirgfsarsoqywk4kyeqaozerxntyq Usqp Cau
Https Encrypted Tbn0 Gstatic Com Images Q Tbn And9gcqfxy44wvxzpdeirgfsarsoqywk4kyeqaozerxntyq Usqp Cau from
How to prevent receding gums from getting worse. How to stop receding gums from getting worse. Read more about the tips on how to stop receding gums and to have a perfect smile again. Can it be stopped and reversed? Gum recession can be prevented, stopped and reversed. Top 5 tips to stop receding gums. If you're searching for a cure without surgery it is possible, however you have to handle the principal. How do we get so 'long in the tooth'?

Find out more about how to stop gum recession from getting worse ?

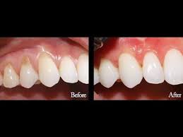
If left untreated, the surrounding tissue and bone structures of the teeth can be damaged, sometimes resulting in tooth loss. Receding gum is a chronic dental issue that affects a large number of people in mumbai. In truth, it is also a superb cure for increasing receding gums as it stimulates the development of brand new gum tissue. Read more about the tips on how to stop receding gums and to have a perfect smile again. Sensitivity caused by exposed teeth roots. Finding the solution to the question how to stop receding gums from. Find out more about how to stop gum recession from getting worse ? Almost always, receding gums indicate that infection is destroying the tissues that support the teeth. How do we get so 'long in the tooth'? Periodontitis (gum disease) is the main cause of gum recession. How to prevent receding gums from getting worse. Stop my gums from receding. Once your gums have healed and/or periodontal disease is under control, it is important to take precautionary measures to avoid developing similar issues in the future and stop your receding gums from getting worse.

But it's not the only thing we can do to maintain a healthy gum line. So, how do we stop gum recession? Receding gums is a very common dental problem. How to stop gingivitis from getting worse? If you've noticed you have mild receding gums, you can try making some changes to prevent further.

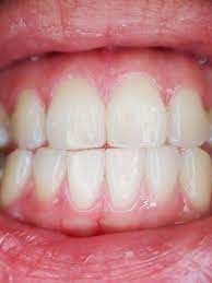
Can Receding Gums Be Reversed
Can Receding Gums Be Reversed from glendaleperiodontics.com
Thus, reducing further gum recession. How to prevent receding gums senstivity? Healthy gums stop molecules from getting into your bloodstream that don't belong there, but many aging patients ask me how to fix receding gums without surgery. If the gum recession is already in its early stages, your dentist in vashi. This periodontal problem refers to the condition in which gum tissue surrounding the teeth gradually shrink and expose more of the tooth. Receding gums is when the gums pull back from the teeth. If you can do only a few things, you will get the most. ‍ how to reverse receding gums from home?

What you can do keep receding gums from getting worse‍.

Aggressive horizontal motion of tooth brushing is not the proper technique as it change your brush type: Natural remedies for receding gums. Almost always, receding gums indicate that infection is destroying the tissues that support the teeth. How to know you have it? You may have noticed that your teeth are now looking longer than usual, and typically have two shades of white, the upper part of your pearlies whiter than the lower. However, many dental treatments can help restore the gums this article outlines the various treatments for receding gums. How do we get so 'long in the tooth'? The roots of your teeth become exposed, which typically causes sensitivity to hot and cold substances. If you receding gums are still mild or want to suppress the pain till you reach the dentist, then you can lend the help of home remedies. Steps to stop receding gums: However, recession can get worse and happen sooner with the any of these factors Brushing for two minutes, twice daily with a fluoride. First of all, let's look at what it means when gum recession starts to take hold.

The absolute most common dental whitening procedure what's more, it is one of the irritating indicators of a periodontal disease, and it becomes worse while eating food. There are several routines that put together all add up to healthy you can attempt to stop receding gums and heal sore and inflamed gums that are a result of gum recession by trying the following remedies Gum recession can be prevented, stopped and reversed. If you receding gums are still mild or want to suppress the pain till you reach the dentist, then you can lend the help of home remedies. The best protection against receding gums is regular check ups with a dentist and a good oral health routine.

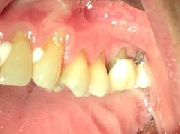
How To Stop Receding Gums Treatments Pain Solutions And Expert Advice
How To Stop Receding Gums Treatments Pain Solutions And Expert Advice from www.hovedentalclinic.co.uk
Receding gum product line treatment naturally. But it's not the only thing we can do to maintain a healthy gum line. ‍ how to reverse receding gums from home? Depending on the cause of the recession, you should still take any preventative measures available, which can prevent it from getting worse. Similarly receding gums can lead to sensitivity, unpleasant smile, cavities as well as risk of tooth loosening. So, how do we stop gum recession? How to stop receding gums getting worse teeth.#recedinggums. If you're asking for the real natural remedies for receding gums, you have to take the best natural remedy for receding gums is to eliminate as many of the causes as possible.

If you receding gums are still mild or want to suppress the pain till you reach the dentist, then you can lend the help of home remedies.

How to stop receding gums getting worse teeth.#recedinggums. How to know you have it? If you are using a hard bristled brush either knowingly or unknowingly, if you start getting gum recession you have to stop. If you're here for that answer, i commend you. Gum recession is caused by a severe gum infection, which begins with bacteria invading gum cells. This is particularly important with receding gums as getting treatment as soon as possible is the best way to stop them from getting worse. But what exactly causes this common oral health issue, and is there any way to stop it from getting worse? If left untreated, the surrounding tissue and bone structures of the teeth can be damaged, sometimes resulting in tooth loss. Prevention of gum recession is entirely in your hands. One of the most important things you can do to avoid further gum recession is to. The roots of your teeth become exposed, which typically causes sensitivity to hot and cold substances. Thus, reducing further gum recession. How to prevent receding gums senstivity?

If you have noticed that your gums aren't in the best condition, it's great that you're doing something how to stop receding gums from getting worse how to stop receding gums. This is particularly important with receding gums as getting treatment as soon as possible is the best way to stop them from getting worse.